Houston advanced nose and sinus logo
Call: 832-720-6673

Sinus Mucoceles

Sinus mucoceles: A sinus mucocele is a pocket or pockets of trapped mucus within one or more of the sinuses. It usually occurs in a very specific area in the sinuses called the fronto-ethmoidal. While a sinus mucocele may occur spontaneously or as a result of facial trauma, it is most commonly the result of previous sinus surgery that was done poorly or incorrectly.1

DIAGNOSIS AND TREATMENT FOR SINUS MUCOCELES IN HOUSTON

If you had prior sinus surgery or you have been in an accident causing facial trauma and you are experiencing intermittent yellow discolored nasal drainage, or focal facial pressure in a specific area on one side of the face, you may be suffering from a sinus mucocele. It is important to see a qualified sinus specialist, such as Dr. Arjuna Kuperan at Houston Advanced Nose & Sinus. Dr. Kuperan is one of the few fellowship certified Rhinologists in all of Texas with specialized expertise, experience, and skill in treating patients with sinus mucoceles.

UNDERSTANDING SINUS MUCOCELES

The sinuses are covered by a lining called mucosa which is similar to skin. During sinus surgery when the sinuses are opened, some of this mucosa can get trapped underneath other mucosa and the result is a mucocele. Similarly, if a facial trauma occurs and there is bony injury to facial bones this can result in a similar trapping of mucosa in one of the sinuses. Basically, the sequestered mucosa continues to produce mucous, but because it is trapped, the collection enlarges forming a mucocele.

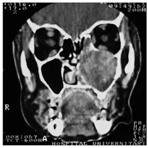
sinus x ray

SINUS MUCOCELE SYMPTOMS

  • Focal facial pain or pressure in one specific area on one side of face
  • Intermittent yellow drainage from one side of the nose
  • Focal headaches on one side of the face
  • Decreased facial pressure on antibiotics that returns after treatment

TREATING SINUS MUCOCELES

If you have symptoms of a sinus mucocele, it is always essential to consult a Rhinologist for an accurate diagnosis and treatment plan. The history of prior sinus surgery or facial trauma is also helpful in establishing the diagnosis. A CT scan (x- ray) of your sinuses and nasal endoscopy (looking inside the nose with a small camera) is essential to better assess the problem.

A sinus mucoceles treatment plan may include oral antibiotics. Most patients with sinus mucoceles require limited endoscopic sinus surgery to drain the mucocele and restore normal sinus drainage pathways. The quality of the endoscopic sinus surgery and expertise of the surgeon is critical to ensure long-term control of this problem—particularly since it is often initially caused by suboptimal sinus surgery.

woman with sinus relief outdoors
Houston advanced sinus office interoir

GET RELIEF FROM SINUS SYMPTOMS TODAY

The key to effective treatment of sinus issues is choosing an approach tailored to the severity of your mucocele. At Houston Advanced Nose & Sinus, Dr. Kuperan takes the time to thoroughly evaluate each patient in order to create a treatment plan that best meets their individual needs. His specialized expertise allows him to offer a full range of minimally invasive and surgical options that will allow you to quickly get relief from sinus symptoms and get your life back on track. Contact us today to learn more or schedule your appointment.

References

1Devars du Mayne M, Moya-Plana A, Malinvaud D, Laccourreye O, Bonfils P. Sinus mucocele: Natural history and long-term recurrence rate. European Annals of Otorhinolaryngology, Head and Neck Diseases. Volume 129, Issue 3, June 2012, Pages 125-130.

Dr. Arjuna Kuperan has either authored or reviewed and approved this content.

Page Updated: